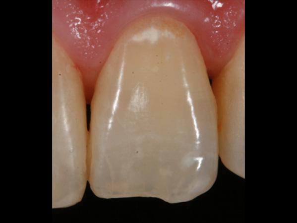
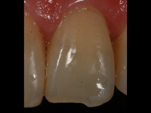
ホワイトスポット
ホワイトスポットでお悩みのあなたへー歯を削らず、美しい笑顔に!


歯の表面に見える白い斑点(ホワイトスポット)は、むし歯の初期・エナメル質形成の異常・歯の成長過程などが原因で生じることがあります。その見た目が気になって、笑顔に自信が持てない…という方はとても多くいらっしゃいます。
月島いなば歯科では、最新の治療法「アイコン(Icon)」による浸潤療法 を中心に、ホワイトスポットの改善に力を入れています。
歯を削ることなくホワイトスポットを改善
歯科医師向けにホワイトスポット治療のセミナーを多数開催し、さまざまな症例に対応してきた当院院長が治療を行います。
ホワイトスポットとは

歯の表面に見られる白濁したシミのような斑点をホワイトスポットと呼びます。
治療方法は、ホワイトスポットの状態と仕上がりのご希望によって様々な治療方法があります。
院長が歯科医師向けに
ホワイトスポット治療の
セミナーを行いました!
「アイコンを使用した浸潤療法の
基礎知識」
本セミナーでは、ホワイトスポットや初期う蝕を削らずに改善した「浸潤療法」について解説しました。
低侵襲ながら審美的改善が期待できる点に注目し、アイコンを使用した治療の基礎知識や手順、注意点を紹介しました。
ホワイトスポットでお悩みの方は
一度ご相談ください。
※ WEBからのご予約は、
ホワイトスポット治療
ご希望の方のみになります。
ホワイトスポットの原因について
初期う蝕・歯牙フッ素症・エナメル質形成不全などが原因として考えられます。
初期う蝕はいわゆる穴のあいたう蝕の前段階のものです。歯の表面は溶けず、内側のミネラルなどが溶け出し空洞になることで光の屈折率が変わりホワイトスポットとして見た目に影響が出ます。
エナメル質形成不全には内分泌異常や発熱・栄養障害に起因する全身的要因によるもの、乳歯の炎症が後続の永久歯に影響を与えたり、ぶつけることなど局所的要因になるもの、切歯と第一大臼歯(6歳臼歯)にだけ見られる原因不明のエナメル質形成不全MIH(Molar-Incisor Hypomineralizatin)など様々に分類されます。
エナメル質形成不全ではう蝕とは異なり内部が空洞化することはありませんが、内部の構造が乱れることで光の屈折率が変わり、ホワイトスポットとして審美的に問題を生じます。
歯牙フッ素症は歯の発生期に過剰にフッ素を摂取することで歯の表面に白斑や茶色の斑点を生じます。水道水のフッ素化が行われていない日本ではほとんど生じることはありません。












