すきっ歯

すきっ歯とは
歯と歯の間に隙間ができている状態を意味します。特に顔の真ん中に近い上の2本の間に隙間がある状態を正中離開とよびます。すきっ歯は前歯だけではなく奥歯でも起こることがあり、見た目や発音に問題を生じることがあります。
すきっ歯になる原因
顎と歯の大きさの不均衡・上唇小帯(上唇と歯肉につながるヒダ)という軟組織の影響・過剰歯の影響・もともと歯の数が少なく隙間ができることがあります。そのほかにも悪習癖(舌で前歯を押したり、指をしゃぶる癖など)によるもの・虫歯や歯周病で歯を失うことで歯の間に隙間ができることもあります。
すきっ歯による影響
見た目が気になるだけではなく、発音や歯の清掃を難しくする一因と考えられます。発音:歯と歯の隙間から空気が漏れることで、発音しづらくなると考えられます。特に前歯に隙間がある場合はさ行・た行などが発音が不明瞭になる傾向が見られます。また隙間があることで食べ物がつまりやすく、清掃をこまめに行わないと虫歯や歯周病のリスクが高くなります。
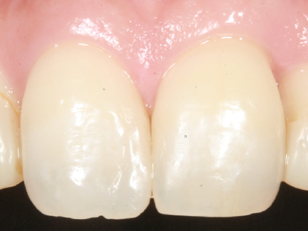
すきっ歯治療の
当院の特徴について

すきっ歯の治療には歯並びを全体的に整えることで隙間をなくす矯正治療と部分的に隙間のある部位にアプローチする2通りの考え方があります。
部分的にアプローチする方法にはダイレクトボンディング・セラミック治療があります。(すきっ歯の改善は保険治療の適応外となります)当院では隙間の程度や箇所・患者様のご希望を伺い治療方針についてご提案しています。
セラミック治療
セラミック治療とは、白く自然な見た目と高い耐久性を兼ね備えた材料で歯を修復する治療です。
金属を使わないため体に優しく、虫歯の再発リスクも低減でき、審美性と機能性を両立できるのが特徴です。
症例を見る
ダイレクトボンディング
虫歯を削ったあとに、歯科用の高品質な樹脂(コンポジットレジン)を直接盛りつけて修復する方法です。
型取りや被せ物を必要とせず、その日のうちに治療を終えられるケースもあります。従来の銀歯や詰め物に比べて、歯を削る量が少なく、見た目も自然で美しい仕上がりが得られるのが特徴です。
【メリット】
歯をほとんど削ることなく治療することが可能です。
隙間のある箇所の歯の表面をわずかに磨き、薬剤で処理することで直接材料を接着することができます。また矯正治療やセラミック治療と比較して治療回数が少なく、安価であることもメリットと言えます。
【デメリット】
歯の全体の雰囲気や色を変更することはできません。
今ある自分の歯の雰囲気・色に合わせて隙間を埋める処置になります。
症例を見る